Che cos'è il Foro Maculare?
Il Foro Maculare rappresenta un disturbo oculare, specificatamente retinico, che si manifesta con la creazione di un'apertura, o foro, nella zona centrale della macula, generalmente localizzata nella fovea.
Identificazione dei Sintomi
I segni distintivi del foro maculare ricordano quelli di altre condizioni che interessano la regione centrale della retina. Questi includono una riduzione e alterazione della capacità visiva, accompagnate talvolta da uno scotoma centrale. Quest'ultimo è definito come un'area di cecità parziale situata al centro del campo visivo, dove si verifica la scomparsa improvvisa delle lettere durante la lettura.
Esplorazione delle Cause
L'occhio umano opera in maniera analoga a quella di una fotocamera, con la retina che funge da "pellicola" nella sua parte posteriore.
Questa pellicola è costituita da un tessuto sottile di cellule e fibre nervose, incaricate di trasmettere le immagini visive al cervello per l'elaborazione.
Le cellule retiniche hanno funzioni diverse, ma sono quelle situate nella macula, particolarmente la fovea, a garantire la precisione visiva necessaria per attività come la lettura, la visione di immagini televisive o la guida. Nonostante le sue ridotte dimensioni, la macula gioca un ruolo cruciale nella vista, essendo responsabile della percezione dei dettagli fini.
Il Processo di Invecchiamento e le Sue Conseguenze
Con l'avanzare dell'età, il corpo vitreo, che mantiene la forma sferica dell'occhio, subisce un processo di liquefazione. Questo cambiamento può portare alla formazione di sacche di liquido che, progressivamente, causano il distacco della corteccia vitreale dalla retina.
In molti casi, tale distacco non provoca disturbi significativi, sebbene alcuni individui possano notare la presenza delle cosiddette "mosche volanti". Tuttavia, in presenza di adesioni retiniche particolarmente forti, il vitreo può esercitare una trazione sulla retina e sulla macula, causando la formazione del foro maculare.
La maggior parte dei fori maculari si verifica per cause degenerative, associate all'invecchiamento, mentre quelli di natura traumatica sono meno comuni e possono derivare da un trauma diretto all'occhio.
Identificazione del Foro Maculare
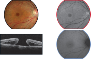
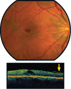
La diagnosi di un foro maculare avviene tramite un controllo dettagliato del fondo dell'occhio, che richiede la dilatazione della pupilla per una visione ottimale. L'utilizzo della Tomografia a Coerenza Ottica (OCT) si rivela spesso cruciale, fornendo una chiara distinzione tra i fori maculari e altre condizioni simili.
Opzioni di Trattamento
Il trattamento efficace per un foro maculare si basa sull'intervento chirurgico, specificamente la vitrectomia, dato che la probabilità di un recupero naturale è estremamente ridotta e generalmente confinata alle fasi iniziali della malattia.
Durante la vitrectomia, si procede alla rimozione del vitreo, l'elemento scatenante del disturbo. L'obiettivo primario dell'intervento è eliminare ogni forza di trazione che impedisce la chiusura del foro, permettendo così alla retina di riacquistare la sua forma originaria.
In aggiunta alla vitrectomia, che mira a eliminare la trazione antero-posteriore, si effettua il peeling della membrana limitante interna. Quest'ultima, sebbene faccia parte della struttura normale della superficie retinica, contribuisce alla trazione tangenziale che favorisce la formazione del foro maculare.
Conclusione della Procedura Chirurgica e Cura Post-Operativa
Al termine della vitrectomia e del delicato peeling, si procede all'iniezione di aria o, più comunemente, di un gas con caratteristiche di lenta assorbibilità nella cavità vitreale. Questa azione mira a mantenere asciutti i bordi del foro, facilitandone la chiusura. L'introduzione immediata di liquido in questa cavità potrebbe compromettere l'esito dell'intervento, poiché potrebbe impedire la corretta adesione dei lembi del foro.
Dopo l'intervento, si raccomanda al paziente di seguire specifiche indicazioni posturali per alcuni giorni. Un tempo era necessario assumere una posizione prona per 2-3 settimane, causando notevoli disagi. Oggi, fortunatamente, il periodo di recupero è stato significativamente ridotto, e si valuta l'efficacia di mantenere semplicemente una posizione seduta, evitando di alzare lo sguardo, per 4-5 giorni.
L'aria o il gas iniettati si assorbiranno naturalmente entro 1-2 settimane, venendo sostituiti dall'umor acqueo generato dall'occhio, permettendo la chiusura del foro nella maggior parte dei casi.
Prognosi e Risultati a Lungo Termine
L'efficacia dell'intervento chirurgico è notevolmente alta, con una percentuale di successo superiore al 90% già dopo la prima operazione.
È importante notare che, nonostante l'alto tasso di successo anatomico, il recupero della funzionalità visiva può non essere completo. La visione tende a migliorare post-intervento, ma raramente ritorna allo stato preesistente.
I fattori che influenzano positivamente la prognosi includono la rapida diagnosi e trattamento, un buon livello di acuità visiva pre-intervento e una minore età del paziente.
Nonostante ciò, è sempre consigliabile procedere con l'intervento piuttosto che non intervenire.
Le innovazioni nella chirurgia mini-invasiva, come le tecniche con strumenti da 23 e 25 gauge, hanno reso la vitrectomia un processo meno invasivo, più sicuro e confortevole, utilizzando attrezzi chirurgici di alta precisione.
Come per ogni intervento chirurgico, anche la vitrectomia per il foro maculare può presentare complicazioni, seppur in percentuali limitate, tra cui il distacco della retina e possibili infezioni.
La formazione di cataratta è un esito comune dopo la vitrectomia, manifestandosi generalmente entro due anni dall'operazione.


